姓名:刘阳 8岁 籍贯:河南 濮阳 症状表现:腿分不开,尖足、走路摇摆 治疗技术:脑瘫阶梯诊疗康复体系 诊断:脑炎后遗症 临床表现 重心偏移,走路、...[ 详细]

  •   脑出血后痰多伴发热

    发布时间:16-05-11 来源:台州黄岩新安康复医院 阅读139次
    导读: 基本信息:吴先生,男,60岁。 病史摘要:患者因脑出血后痰多伴发热二天处于浅昏迷状态,头颅CT:两侧额叶、左侧颞叶多发脑挫裂伤较前相仿。蛛网膜出血较前相仿。双…
  •   双额叶脑挫伤

    发布时间:16-05-11 来源:台州黄岩新安康复医院 阅读132次
    导读: 基本信息: 陆先生, 男,58岁 病史摘要:患者因原发性脑干伤,双额叶脑挫伤,右颞叶脑挫伤,外伤性蛛网膜下腔出血,右额颞顶急性硬膜下血肿,枕骨骨折入院,并与…
  •   颈椎过伸伤伴不全瘫术后

    发布时间:16-05-11 来源:台州黄岩新安康复医院 阅读192次
    导读: 基本信息:何先生,男,55岁 €病情摘要:颈椎过伸伤伴不全瘫术后一月余,双上肢、双下肢、躯干及会阴区触觉,温痛觉减退,四肢肌张力减弱,双手感觉运动功能障碍。双侧膝腱反…
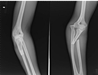
  •   右肘关节恐怖三联症

    发布时间:16-05-11 来源:台州黄岩新安康复医院 阅读66次
    导读: 基本信息:吴先生,男,37岁 患者不慎摔伤致右肘关节肿痛伴活动障碍入院,X线片示右肘关节恐怖三联症。转上海市第六人民医院行右肘关节骨折切开复位…
  •   脑梗塞康复

    发布时间:16-05-11 来源:台州黄岩新安康复医院 阅读193次
    导读: 姓名:曹先生 性别:男 年龄:69 病史摘要:起床上厕所自觉头晕,跌倒在地,扶起后左侧上下肢乏力,伴有口齿含糊。于4月17日行右侧额颞顶去骨板减压+左侧…
  •   脑外伤术后康复案例

    发布时间:16-05-11 来源:台州黄岩新安康复医院 阅读105次
    导读: 患者姓名:王某 性别:女 年龄:64岁 病史:患者系脑外伤致语言困难,行走迟缓一年余入院。系脑外伤,在第一人民医院行开颅手术,昏…
  •   智障儿童康复病例

    发布时间:16-05-11 来源:台州黄岩新安康复医院 阅读146次
    导读: 患者姓名:项某某 性别:男 年龄:3岁多 病史:有癫痫病史,2岁2个月被诊断精神发育迟滞,有语言,但表达不清,词不达意,常常不能…
  •   脑中风偏瘫康复案例

    发布时间:16-05-11 来源:台州黄岩新安康复医院 阅读144次
    导读: 患者牛先生,53岁。该患者份无明显诱因致脑出血,后经医院治疗,后遗有右侧偏瘫及语言障碍。 后经亲友介绍,来台州黄岩新安康复医院进行治疗,入院后经专家诊断为:1、脑卒…
  •   中年骨折康复案例

    发布时间:16-05-11 来源:台州黄岩新安康复医院 阅读107次
    导读: 患者邹先生,45岁,工人。患者因机械挤压伤致右下肢不能活动,即送往某医院行X片示:右髋关节脱位,右股骨干骨折,给予牵引治疗,行股骨钢板固定术,17日行髋关节克氏…
  •   重度烧伤康复案例

    发布时间:16-05-11 来源:台州黄岩新安康复医院 阅读118次
    导读: 患者姓名:陈某某 性别:男 年龄:33岁 病史:患者工作中被炉渣灰烧伤躯干、双下股等部位,送入安医一附院,行相关治疗。术后出现双下肢活…
  •   腰椎骨折康复案例

    发布时间:16-05-11 来源:台州黄岩新安康复医院 阅读133次
    导读: 郭先生,33岁,住宿州市庸桥区顺河乡。该患者在工厂干活时,不慎从高处跌落,当时臀部着地,当时在南京中大医院住院部手术治疗,术中顺利,术后恢复尚可,现患者病…
  •   2岁脑瘫儿康复

    发布时间:16-05-11 来源:台州黄岩新安康复医院 阅读185次
    导读: 亮亮 男 2岁 主诉:智力低下,不会站,不会走 病史:母亲怀孕5个月时胸闷咳嗽2个月,产前B超检查正常,患儿是早产儿,无窒息、无黄疸,到了6个月不会坐,7、8个月不会爬,表情呆板,不会…
  •   脑外伤综合征

    发布时间:16-05-11 来源:台州黄岩新安康复医院 阅读184次
    导读: 基本信息:浦先生,男,58 病史摘要:患者因骑电动车不慎摔倒,送至太仓市第一人民医院救治,行头颅CT示:外伤性蛛网膜下腔出血,右额颞急性硬膜下血肿,左颞急…
  •   感觉功能减退康复

    发布时间:16-05-11 来源:台州黄岩新安康复医院 阅读195次
    导读: 基本信息:顾先生,男,51 入院诊断:脑梗塞、射频消融术后、高血压、腰椎间盘突出 主要障碍:上肢BrounstromⅡ期,手Ⅰ期,关节活动度基本正常,上肢大部分肌力为1级,肩关节外展…
  •   脊髓损伤康复案例

    发布时间:16-05-11 来源:台州黄岩新安康复医院 阅读92次
    导读: 初评 【患者】:唐女士,女、44岁 【病史摘要】患者工作中不慎从楼梯滚落,当即腰痛伴双下肢活动不利,无意识丧失。立即被送院救治。查X线示:胸12椎体骨折,胸11,…
  • 主页
  • 上一页
  • 1
  • 2
  • 3
  • 4
  • 下一页
  • 末页
  • 449
  • 代任涛

    治疗院长 康复治疗部主任
    邹继伦
    简介: 姓名: 邹继伦 职位: 业务院长 职称: 神经内科主任 教育背景: 大学…

    黄战胜
    简介: 姓名: 黄战胜 职位: 重症医学科主任 职称: 副主任医师 【擅长领域…

    沙纯晶
    简介: 姓名: 沙纯晶 职位: 老年科副主任医师 职称: 副主任医师 个人简介…

    就医指南

    地址:黄岩区西城街道二环西路800号

    客服热线:0576-89220576

    在线时间:周一~周日 08:00-23:00

    关于新安 | 医院动态 | 专家团队 | 视频中心 | 在线咨询 | 返回主页

    Copyright © 2006 - 2016 台州黄岩新安康复医院 版权所有   浙ICP备15034080号-3

    联系地址:黄岩区西城街道二环西路800号   联系电话:0576-89220576

    注:本网站信息仅供参考,不能作为诊疗及医疗依据,未经授权请勿转载。


    • 官方微信:TZSHYXAKFYY