

此病例为个案,是专家本人在自己身上进行的一个探索性措施,而且实施过程也非常慎重,并不适用于所有骨折患者,请勿模仿
-康复专家的骨折康复记-

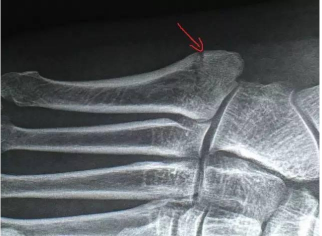
2016年9月22日,励建安教授在晨跑时右脚外侧扭伤,第五跖骨基底部发生骨折。

因为有重要学术活动,他坚持了一个白天,晚上才去医院——用运动贴布简单处理了骨折,接下来的几天都使用足内侧,坚持步行

在此期间,励建安教授产生了一个大胆的想法:用运动促进康复!
骨折后第5天。他绕着自己的家,在无拐杖的情况下步行了5790步,用时29分钟。运动后继续局部按摩以促进骨细胞再生和血液循环。之后的几天里,教授正常工作、参加会议,有几日的步行甚至上万。
骨折后的第11天,励建安教授开始了大胆的尝试:跑步!而且跑得还不少:三公里!这远远超出了我们平常理解的“伤筋动骨100天”静养模式的理解范围。然而教授觉得感觉良好。
骨折后第12天,他进行了紫金山十五公里的徒步攀登。

第18天,徐州跑步10公里,晚上南京夜跑5公里。顺利完成。
第19天,X光片复查,骨折没有移位,骨折线模糊。
第25天,步行1.4万步。
第26天,步行2.6万步。
第27天,学术会议报告后,步行+跑步1.4万步。

第30天,正常跑步10公里(澳大利亚)。
更让人吃惊的是,教授在骨折的第40天和第70天,先后完成了两次半马,而且成绩都相当不错。

2016年12月11日,距离骨折的第80天,励建安教授在广州马拉松赛事上完成了他人生第一次全马,用时5小时54分。
这是位65岁、骨折后不到三个月的人。

而他骨折的右脚此时也已基本康复。
“我的这段经历说明,骨折后尽早运动似乎对骨折的康复有利。但是,像这样的大胆尝试,必须是在有经验的前提下勇敢地完成,在不造成进一步损害的前提下,越多运动、越早运动,对骨折的康复越有利。”

“当然,骨折期间的护理也十分重要。适当地在运动时使用运动贴布、压力袜,对患侧的减重和防止进一步损害十分重要。此外,为了加速成骨细胞的生长,适当按摩和热敷(促进局部血液循环)、给予骨折处适当地垂直压力非常有必要(可以加速骨折断端的吻合)。”
励建安教授从64岁那年开始跑步,但至今已经完成一个全马、三个半马、一次徒步越野,并且每天坚持跑步。

跑步改变他了很多。

参加茶马古道徒步越野赛,他结识了一群志同道合、坚持到底的朋友,放下了身心上的压力和包袱,用脚步丈量世界,在跑步中收获了在城市以外才能看到的淳朴与自然。
“从压力中解放,给大脑洗了次桑拿”。

“跑步带给我的,是健康、挑战、快乐。”他说,坚持跑步一年多,减重10公斤,脂肪肝也有所好转。
“不甘平庸、敢于挑战,才能够离目标更近。”去往多个城市、也深入大自然跑步的他,享受到了运动的乐趣和途中所见的美好。

“操场就在那儿,不管晴天还是下雨,去跑吧!”
3月13日,他来到师生中间,给他们讲自己的骨折康复感悟和与跑步有关的故事。
“跑步会促进内啡肽的分泌,这是一种会使人感到快乐的物质。所以你们被学业被生活压力所迫的时候,觉得想不开的时候,就去跑步吧!这可比化悲愤为食欲好多了,毕竟跑步能让你瘦,吃太多,你还会胖!生命在于运动,运动就是生命!”


日行万步并没有确定依据,适合自己的运动量才是更好的;
不要轻易说自己不行,试试才知道自己多厉害;
运动伤病的较佳处理办法未必是静养;
运动时有必要保护自己,合适的运动装备、正确的运动指导很重要。
跑步是全身的事,在做肌肉训练时要顾及全身。
跑步姿势正确可以减少很多损伤,也可以节省很多体力。

励教授曾说:“让每个患者从活的不好到活得更好,从而追求品质生活的过程,就是体现康复医学工作者职业价值和生命价值的过程。”
而医者,只有让自己更加强健,才能更好地救死扶伤。

本文来源:一点资讯
如有侵权,请联系编者
地址:黄岩区西城街道二环西路800号
客服热线:0576-89220576
在线时间:周一~周日 08:00-23:00